TOOTH WEAR


What is the difference between ABRASION, ATTRITION, ABFRACTION AND EROSION ? Tooth wear is a term used to describe the progressive loss of a tooth’s surface due to actions other than those which… Continue reading

STAGES OF GUM DISEASE

The Dangers of Gum Disease Gum disease has been linked to an increased risk for many serious health complications, including:  • Heart Disease • Premature Birth or Low Birth-Weight Babies • Stroke •… Continue reading

ANGLE’S CLASSIFICATION OF MALOCCLUSION

A malocclusion is a misalignment or incorrect relation between the teeth of the two dental arches when they approach each other as the jaws close. Edward Angle, who is considered the father of… Continue reading

7 TIPS on Protecting Your Dental Enamel

1. To prevent enamel loss and keep teeth healthy, be sure to brush and floss teeth daily. See your dentist every six months for regular checkups and thorough teeth cleaning to remove built-up… Continue reading

DENTAL ENAMEL

DID YOU KNOW: Enamel is the hardest substance in the body. Tooth enamel is one of the four major tissues that make up the tooth in humans and many other animals. It is… Continue reading

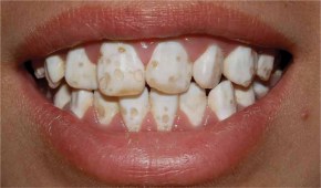
Amelogenesis Imperfecta

Amelogenesis imperfecta is a diverse group of hereditary conditions that primarily affect the quality and/or the quantity of dental ENAMEL, resulting in poor development or complete absence of the enamel of the teeth. This… Continue reading

Dental Specialities

Dentistry is the branch of medicine that is involved in the study, diagnosis, prevention, and treatment of diseases and conditions of the oral cavity. Generally a dental degree prepares you to perform most… Continue reading

3 Major Types of Local Anaesthesia

LOCAL ANAESTHESIA TECHNIQUES 
There are several general methods of obtaining pain control with local anesthetics. The site of deposition of the drug relative to the area of operative intervention determines the type of… Continue reading

Manual vs Power Toothbrush

Currently, there are no significantly conclusive findings that pertain to the superiority of manual versus powered toothbrush. Since my group (for one of the classes) designed a protocol research outline for the adverse… Continue reading

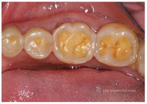
DENTAL EROSION

Erosion is the irreversible loss of tooth substance brought about by a chemical process that does not involve bacterial action.  There have been some disagreements in dental field pertaining to “Dental Erosion”. Grippo and… Continue reading